
17.05.2025/
No Comments
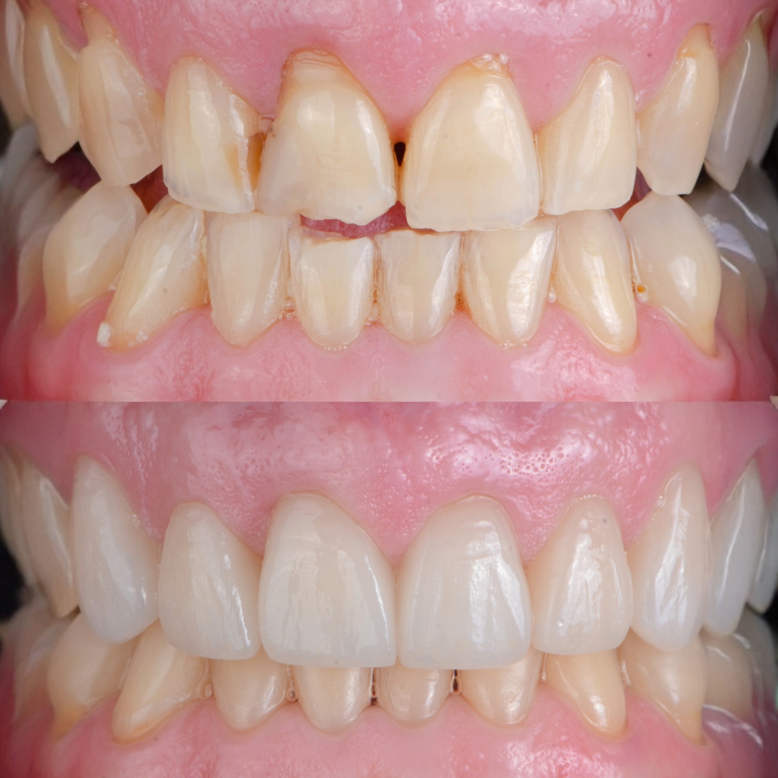
Uso de resina composta ou cerâmica para reparar dentesfraturados, cariados ou com formatos irregulares,harmonizando com a cor natural dos dentes.

Uso de resina composta ou cerâmica para reparar dentesfraturados, cariados ou com formatos irregulares,harmonizando com a cor natural dos dentes.
Texto curto sobre a clínica

© 2025 Criado por Sorrindo de Novo Implantes